Lab Notes

Niki Meka holding an ultrasdound in the ED smiling

UConn Medical Students Always Advancing Scientific Knowledge

The highly successful Summer Research Program is powered by generous donations to the Dean’s Discovery Fellowship Fund

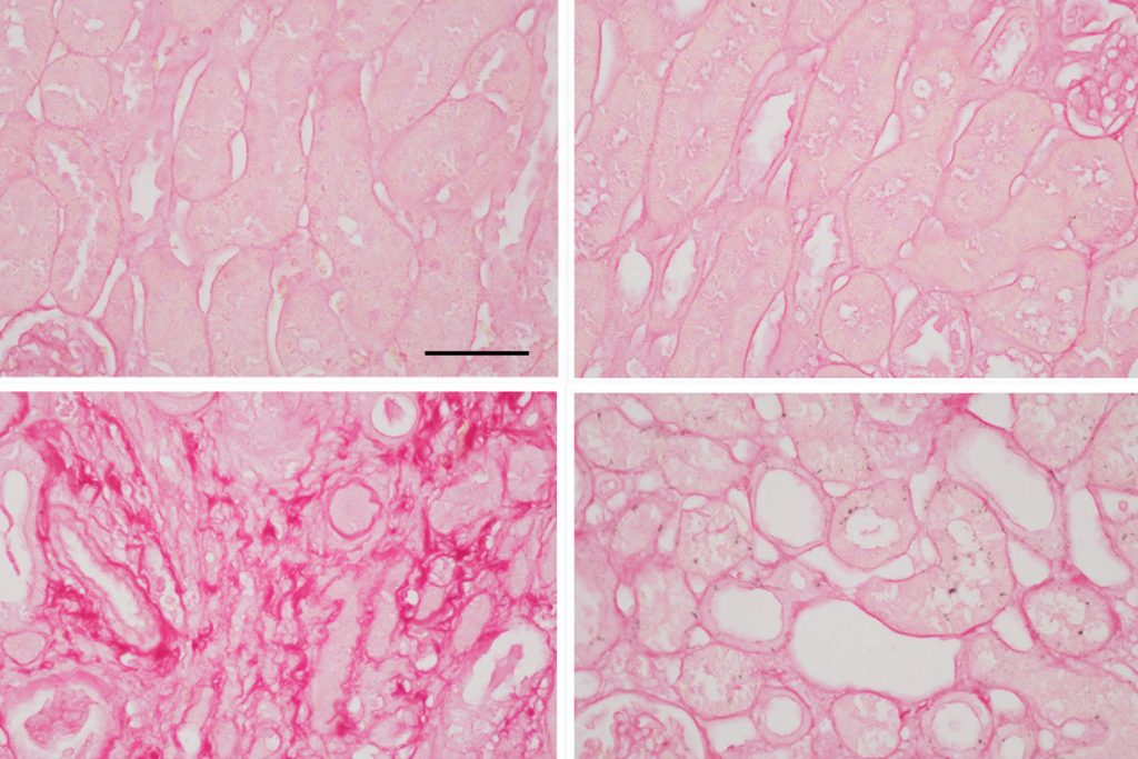
A four image panel showing close-up imagery scar tissue in kindeys

Understanding the Scars of Kidney Disease

About one in seven American adults has chronic kidney disease

Study coordinator Sheila Thurlow, MSN, RN, at the Clinical Research Center examining a patient.

Clinical Research Center Makes a Real Difference in Patients’ Lives (and Clinical Trials)

UConn School of Medicine is home to the tireless teamwork of the Clinical Research Center supporting over 80 clinical trials.

Study image from Science Translational Medicine.

Blocking Cancer Cells from Spreading

Published findings in Science Translational Medicine identify a future biomarker that may help match a melanoma patient with the right therapy for them.

Heart graphic

Air Purifiers May Reduce Heart Risks for People Exposed to Traffic Pollution

UConn School of Medicine study finds in-home HEPA air filters significantly lowered systolic blood pressure in adults with elevated readings.

“Chia-Ling Kuo et al. demonstrate the Healthspan Proteomic Score (HPS), derived from chronological age and the expression levels of 86 proteins, is a strong predictor of disease and mortality risk. Lower HPS values are associated with higher risks of disease and mortality. Pictured is a “biological clock” representation hinting that proteins inform the HPS, which can inform our healthspan. Here, the clock’s hand is a 3D rendering of growth/differentiation factor 15 (GDF15), a protein predictor of healthspan. Image credit: Bernard L. Cook III, PhD, who conceptualized, illustrated, and composed the final image, and Illustrate, the software used to render GDF15 (Goodsell DS, Autin L, Olson AJ (2019) Illustrate: Software for Biomolecular Illustration. Structure 27, 1716-1720).”

Scientists Develop New Blood-Based Proteomic Score to Predict Healthspan and Disease Risk

UConn School of Medicine study published in PNAS introduces Healthspan Proteomic Score as a biomarker for healthy aging

Hip fracture in older adult (AdobeStock Image).

Supervised Exercise Improves Broken Hip Outcomes in Older Women

JAMA Network Open Publishes Study Results of the STEP-HI Clinical Trial, Finding That Testosterone Gel Use in Women Recovering from Hip Fracture Does Not Improve Outcomes Compared to Supervised Exercise Alone

AdobeStock image of Alzheimer's disease patient brain scans.

UConn Uncovers New Clue on What is Leading to Neurodegenerative Diseases Like Alzheimer’s and ALS

Decreased levels of TDP-43 gene inside the nucleus of endothelial cells is disrupting blood-brain barrier’s protection

Dr. Se-Jin Lee and Dr. Emily Germain-Lee in the lab at UConn School of Medicine.

Next Generation of Weight Loss Drugs Being Researched at UConn

Nearly 30 years later Dr. Se-Jin Lee’s discovery of myostatin is not only leading to treatment for spinal muscular atrophy but also fueling the global obesity drug research race

UConn Neuroscientist Dr. Eric S. Levine in his lab at UConn School of Medicine (Photo by Lauren Woods).

Eagles Autism Foundation Awards Research Funding to UConn School of Medicine

Cutting-edge autism research of UConn Neuroscientist Dr. Eric Levine and his Lab wins $400,000 in research funds thanks to football fans donating to the annual Eagles Autism Challenge